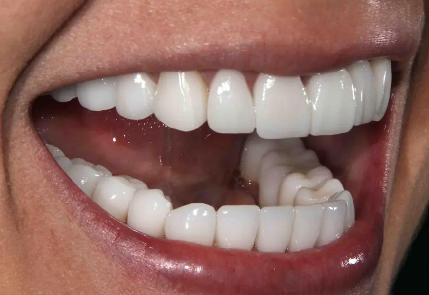
Recupere a integridade e a estética do seu sorriso com o Protocolo Esthetix. Unimos o diagnóstico digital à escultura biomimética para corrigir fraturas, manchas e restaurações antigas com um acabamento invisível. Resultados naturais, imediatos e preservadores, desenhados para serem imperceptíveis até para os olhos mais atentos.

Muitas restaurações convencionais destoam da anatomia natural do dente pela opacidade, cor inadequada ou excesso de volume. O Protocolo Esthetix utiliza resinas premium e técnica biomimética para devolver forma, brilho e naturalidade com acabamento discreto e preservação máxima da estrutura saudável.
O Protocolo Esthetix restaura a beleza do seu sorriso em uma só visita. Usamos tecnologia digital e resinas modernas para corrigir detalhes e manchas com perfeição. O resultado é natural e fica totalmente invisível.

Análise digital para encontrar o tom exato do seu sorriso. O material terá o mesmo brilho e cor do seu dente real.

Usamos materiais modernos que são muito resistentes, não mudam de cor e se unem com total segurança ao seu dente.

Nosso especialista realiza a reconstrução com agilidade e refinamento técnico, devolvendo forma e harmonia ao sorriso em uma única sessão.

Polimento que devolve o brilho natural e protege a resina contra manchas, mantendo o seu sorriso lindo por anos.


O Protocolo Esthetix foi criado para corrigir falhas, manchas e restaurações antigas com rapidez, precisão e preservação da estrutura dental. Cada caso é planejado para que cor, forma e brilho se integrem ao dente natural, entregando um resultado harmônico e discreto em uma única consulta.
EXCELENTE Com base em 24 avaliações Publicado em Maurício Mestriner04/12/2025Trustindex verifica se a fonte original da avaliação é Google. Tudo perfeito! Ambiente limpo e aconchegante, funcionários dedicados e profissionais maravilhosamente qualificados! Tudo impecável. Parabéns a todos!Publicado em Naty Almeida17/10/2025Trustindex verifica se a fonte original da avaliação é Google. Atendimento impecável, equipe super atenciosa e resultado além do esperado. Recomendo de olhos fechados!Publicado em Elizabeth Benevides27/08/2025Trustindex verifica se a fonte original da avaliação é Google. Excelente atendimento, lugar agradável
Resposta do proprietário
Obrigado, Elizabeth.Publicado em Cleide Neiva20/08/2025Trustindex verifica se a fonte original da avaliação é Google. Sempre fui muito bem recebida, desde a recepção até os cuidados dos dentistas. Já fiz alguns procedimentos, fui assistida e foi tudo bem sucedido, o profissional é competente e atencioso com a gente. Agradeço muito pela atenção e carinho. Super indico esta clínica.
Resposta do proprietário
Obrigado, Cleide.Publicado em Vagner Coelho03/08/2025Trustindex verifica se a fonte original da avaliação é Google. Muito bom saber que temos na cidade uma clínica com tecnologia de ponta, excelência e principalmente com profissionais tão capacitados quanto atenciosos. Além do atendimento e atenção que são especiais. Já precisei fora do horário, um final de semana e como sou paciente o Dr Luiz gentilmente conseguiu me atender. Sou paciente e fã da clínica, se quiserem algo de primeira na região de Jundiaí e Campinas, super recomendo, aliás até de São Paulo, pois são referência! Super recomendo !!!
Resposta do proprietário
Muito obrigado, Vagner. Ficamos felizes em saber que nossa missão é realizada com excelência.Publicado em Edilaine Lopes Ferreira da Silva20/08/2024Trustindex verifica se a fonte original da avaliação é Google. Muito bom... Excelentes profissionais. 🥰
Resposta do proprietário
Muito Obrigado, Edilaine. Estaremos sempre buscando aprimorar ainda mais nosso atendimento.Publicado em Clarice Oliveira03/03/2023Trustindex verifica se a fonte original da avaliação é Google. Excelente atendimento do início ao fim do tratamento, com os melhores profissionais de Jundiaí. ♥️
Resposta do proprietário
Obrigado pela confiança e estamos felizes em estar cumprindo nossa missão de gerar sorrisos de satisfação!Publicado em Fernando Santos08/01/2021Trustindex verifica se a fonte original da avaliação é Google. Uma das melhores clínicas, senão for a melhor de Jundiai.
Resposta do proprietário
Obrigado, Fernando.Publicado em Julia Lenci03/05/2019Trustindex verifica se a fonte original da avaliação é Google. Atendimento maravilhoso, profissionais capacitados, tecnologia de ponta pensando sempre no melhor para o paciente...nota millllll!!!!!!!!
Resposta do proprietário
Obrigado, Julia.Publicado em Joao Neto Sinval28/04/2019Trustindex verifica se a fonte original da avaliação é Google. Perfeito
Resposta do proprietário
Obrigado, João.
Não deixe que um detalhe comprometa o seu sorriso. Com o Protocolo Esthetix, corrigimos fraturas, fechamos espaços e renovamos cores de forma rápida e segura. Nossa tecnologia permite que você saia da clínica com o sorriso pronto para qualquer ocasião, sem idas e vindas ao laboratório. É a eficiência da odontologia moderna a favor da sua imagem.
Resultados naturais e duradouros em um único dia.