IMPLANTES 3D COM PRÓTESE RÁPIDA

Protocolo Fenisse: Os Seus Dentes Fixos de Volta em Tempo Recorde

Recupere a liberdade de sorrir e mastigar sem a espera da técnica tradicional. O Protocolo Fenisse une tecnologia 3D sem cortes a dentes fixos imediatos. Saia da clínica no mesmo dia com a segurança, o conforto e a estética de um novo sorriso.

ALÉM DA IMPLANTOLOGIA COMUM

Do sofrimento da espera à previsibilidade dos dentes fixos imediatos

Os tratamentos tradicionais falham ao sujeitar o paciente a meses de espera dolorosa com próteses móveis e desconfortáveis. O Protocolo Fenisse é o antídoto definitivo para essa dor. Através da nossa tecnologia de navegação 3D, realizamos a instalação dos implantes sem cortes, garantindo uma recuperação inicial de apenas 3 a 7 dias e uma osseointegração acelerada em 21 dias. Não entregamos apenas estética; devolvemos a funcionalidade imediata do seu sorriso com absoluto conforto na nossa clínica.

ENGENHARIA DA REABILITAÇÃO ACELERADA

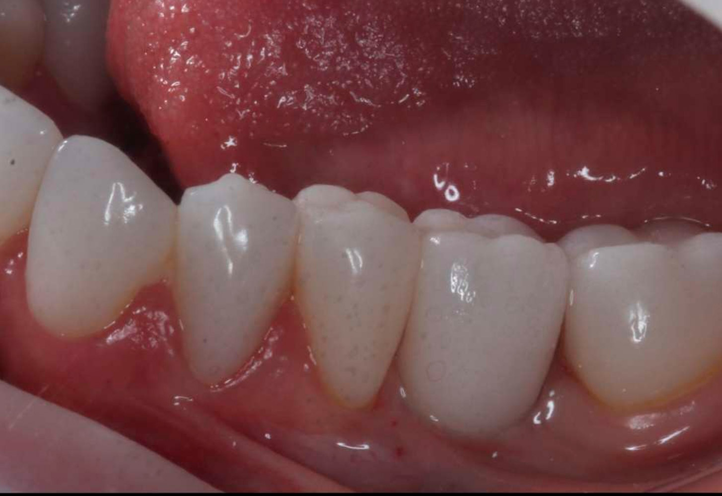
As 4 etapas do Protocolo Fenisse para dentes Fixos imediatos

O Protocolo Fenisse substitui a espera dolorosa e a incerteza por previsibilidade e rapidez. Com a inteligência da engenharia digital, planejamos cada detalhe com precisão para realizar a instalação dos seus implantes e da prótese provisória no mesmo dia.Esqueça os tratamentos convencionais intermináveis: a nossa tecnologia garante que você recupere a função mastigatória e a estética do seu sorriso em tempo recorde, saindo com dentes fixos de forma rápida e segura.

Mapeamento Biométrico Individual

Captura e análise de mais de 200 pontos anatômicos para criar um clone digital exato da sua estrutura facial e óssea, eliminando margens de erro.

Planejamento Virtual 3D

Simulação digital completa em software avançado que planeja a posição ideal dos implantes e dentes, eliminando qualquer margem de erros durante a cirurgia. O melhor resultado para a estética, biologia e função mastigatória.

Navegação Tridimensional

Instalação de implantes guiada por computador com precisão milimétrica, dispensando cortes com bisturi ou pontos, o que garante uma recuperação acelerada.

Implantes + Prótese Imediata

A transformação real sem esperas: você sai da nossa clínica com os implantes e a prótese provisória já instalados, recuperando o sorriso no mesmo dia.

O segredo da precisão

A prova real de que a tecnologia digital garante o seu melhor resultado

Conheça os bastidores do Protocolo Fenisse. Através de softwares de última geração e mapeamento biométrico, transformamos casos complexos em tratamentos mais precisos, previsíveis e seguros.

A VOZ DA TRANSFORMAÇÃO

A experiência de quem voltou a sorrir com segurança

EXPERIÊNCIA ONE: O LUXO DO CUIDADO

Acolhimento premium: onde o medo dá lugar ao descanso total.

Desconstruímos a ideia de que tratamentos complexos precisam ser exaustivos. No Protocolo Fenisse, você vivencia o Dia da Estrela: uma jornada de cuidado integral em um ambiente que remete à hotelaria de luxo. Com o suporte da Sedação Allivio, o tempo flui com serenidade, eliminando qualquer ansiedade. Desfrute de suítes privativas e um serviço de concierge dedicado, garantindo que sua única tarefa seja relaxar com total segurança.

COMPROMISSO COM VOCÊ

A Garantia Aura 3+3: Proteção para a Sua Nova Obra de Arte

O Protocolo Fenisse representa um investimento em sua imagem e autoconfiança. Para garantir a longevidade desta obra de arte, oferecemos a Garantia Aura 3+3. São três anos de cobertura técnica total aliados a três anos de cuidados preventivos inclusos. Nosso compromisso é zelar pela sustentabilidade do seu resultado com um planejamento sistêmico e visão facial.

Proteja o seu investimento com a segurança de trinta anos de experiência.